corsi di formazione 2026
CORSO DI ESTETICA E FUNZIONE PER MEDICI E TECNICI
INCONTRI
1° Incontro 24 Gennaio 2026
2° Incontro 07 Febbraio 2026
3° Incontro 21 Febbraio 2026
INCONTRI
1° Incontro 09 Maggio 2026
2° Incontro 23 Maggio 2026
3° Incontro 06 Giugno 2026
INCONTRI
1° Incontro 12 Settembre 2026
2° Incontro 26 Settembre 2026
3° Incontro 10 Ottobre 2026
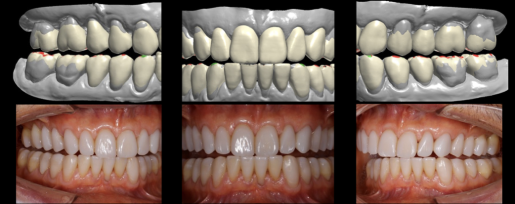
TECNICHE E PROTOCOLLI PREDICIBILI NEI CASI DI GRAVE USURA DENTALE DOVE NECESSITA IL RIPRISTINO DI UNA CORRETTA DIMENSIONE VERTICALE
Metodiche per ottenere manufatti protesici senza ritocchi occlusali da parte del clinico Utilizzo di arco facciale/articolatore ANALOGICO /DIGITALE
Il corso è rivolto a tutti i clinici / tecnici che desiderano approfondire i concetti di occlusione per ottenere delle riabilitazioni protesiche ottimali . Oggi il CAD-CAM permette di utilizzare librerie anatomiche , di velocizzare i lavori , di utilizzare materiali performanti... Ma possiamo/riusciamo veramente a ottenere dei manufatti protesici di qualità come nella realtà analogica ? La conoscenza degli aspetti estetici e funzionali diventa quindi di fondamentale importanza per poterli applicare anche nel mondo digitale
ABSTRACT DEL CORSO:
La parte più importante di una riabilitazione protesica e/o ricostruttiva riguarda il Piano di trattamento CLINICO e TECNICO. In funzione di questo diventa determinante in fase diagnostica acquisire tutte le informazioni che ci diano la certezza di eseguire delle riabilitazioni protesiche in modo predicibile. Ecco quindi che la ricerca di una nuova DIMENSIONE VERTICALE e di una ripetibile REFERENCE POSITION sono di fondamentale importanza . Per questo motivo le parti pratiche eseguite dai clinici saranno rivolte alla preparazione del deprogrammatore/jig e alla registrazione di tale posizione…
Inoltre verranno eseguite esercitazioni sulla presa dell’arco facciale anatomico. Verranno poi illustrate le tecniche per ottenere l’inserimento dei provvisori nel cavo orale nella stessa posizione nella quale sono stati preparati in laboratorio e infine la tecnica per il passaggio dai provvisori al lavoro definitivo. Per i tecnici invece l’analisi estetica , il trasferimento dei modelli in articolatore , il setting dell’articolatore in base alle classi scheletriche e l’esecuzione delle anatomie estetiche e funzionali dei denti anteriori e posteriori avranno una valenza primaria. Verranno quindi considerati i principi di base quali la STABILITA’ IN CENTRICA e le GUIDE FUNZIONALI ANTERIORI in modo da poter lavorare nella quotidianità in modo semplice ed ergonomico. Inoltre il relatore presenterà delle tecniche per ottenere dei manufatti protesici in modo da evitare i ritocchi occlusali nel cavo orale.
CORSO TEORICO PRATICO DI 3 incontri da 1 gg
Partecipanti massimo 10-12 clinici e tecnici ( si può partecipare anche singolarmente anche se è consigliato venire in coppia ) . Inoltre verranno consegnate varie dispense e una chiavetta USB originale del corso in modo da poter rivedere tutte le fasi dei passaggi fondamentali delle tecniche utilizzate.
1° GIORNO:
- I denti:”Anatomia e Funzione”
- Valutazione delle forme in base all’estetica ed alla funzione
- Concetti di Relazione e Occlusione Centrica/Abituale/Terapeutica
- Preparazione del Jig su modelli di studio e/o di casi reali
- Parte pratica su paziente della registrazione con deprogrammatore / jig
- Presentazione della tecnica di registrazione con fogli termostampati “BREGA” ( con verifica sui modelli della posizione rilevata )
- Problematiche riguardanti le registrazioni ANALOGICHE E DIGITALI
- Parte pratica di CERATURA DEI DENTI DIATORICI x stabilizzare la centrica
2° GIORNO:
- Importanza dell’utilizzo dell’arco facciale/articolatore ANALOGICO E DIGITALE
- Regolazioni dell’articolatore negli angoli di Eminenza e Bennett in relazione al tipo di classe scheletrica , tipologia e età del paziente.
- Parte pratica su paziente di presa dell’arco facciale con indicatore dell’orbita e nasium regolabile
- Arco facciale digitale…
- Valutazione delle guide funzionali nei movimenti eccentrici di lateralità e di protrusiva
- Considerazioni delle anatomie dei denti posteriori in relazione alla guida anteriore
- Parte pratica di CERATURA DEI DENTI ANTERIORI x OTTENERE UNA CORRETTA GUIDA ANTERIORE NEI MOVIMENTI DI PROTRUSIVA E LATERALITA’
3° GIORNO:
- Importanza DELLA CERATURA DIAGNOSTICA E DEL MOCK-UP Mediante utilizzo di tecniche ANALOGICHE E DIGITALI
- Valutazione dei provvisori FRESATI / STAMPATI / INIEZIONE tecnica Verysystem
- Costruzione dei jig per il posizionamento dei provvisori nel cavo orale ANALOGICI E DIGITALI
- Valutazioni nella scelta dei materiali estetici : Disilicato di litio / Zirconia
- Utilizzo degli accessori fondamentali per una ricostruzione ESTETICA E FUNZIONALE ottimale nelle riabilitazioni protesiche…
- Piano occlusale
- Piano di Stuart
- Tavolo incisale regolabile ( x overbyte – overjet )…
- Presentazione lavori definitivi secondo i moderni concetti gnatologici in Protesi Fissa , su impianti e in Protesi Mobile
ISCRIVITI QUI!
Corso di Estetica e Funzione per Medici e Tecnici, compila il Form per assicurati il tuo posto!
